Understanding Pseudomyxoma Peritonei

S.Skip 33 views
Understanding Pseudomyxoma Peritonei

Understanding Pseudomyxoma Peritonei

Hey everyone, let’s dive into a topic that might sound a bit intimidating at first, but understanding it is super important: Pseudomyxoma Peritonei (PMP) . You might have heard it referred to by other names, like “jelly belly” or “gelatinous ascites,” and while those might sound a little less scary, PMP is a serious medical condition. Essentially, it’s a rare form of cancer that starts in the appendix or ovaries and spreads gelatinous mucus-secreting tumors throughout the abdominal cavity. This mucus buildup is the hallmark of PMP, and it’s what causes the characteristic distension and discomfort associated with the condition. The cells that form these tumors are typically mucinous adenocarcinoma cells, meaning they produce a lot of mucus. The origin is usually from a mucinous tumor of the appendix, which is often initially benign (a mucinous adenoma). However, this benign tumor can rupture, releasing the mucinous material and tumor cells into the peritoneal cavity, where they can then implant and grow. In rarer cases, it can originate from a mucinous tumor of the ovary or even other sites like the colon or urachus. The slow-growing nature of PMP is one of its defining characteristics, which is why it can take years to be diagnosed. Patients might experience vague symptoms like abdominal pain, bloating, or changes in bowel habits, which are easily attributed to other, more common conditions. This delay in diagnosis can sometimes lead to the disease being more widespread by the time it’s identified. The progressive accumulation of mucus can lead to significant abdominal distension, pressure on organs, and eventually, bowel obstruction. It’s crucial to remember that while PMP is a type of cancer, its behavior is often different from more aggressive forms. It tends to spread locally within the abdomen rather than metastasizing to distant organs like the lungs or liver. This localized spread is what makes treatment strategies focused on surgically clearing the abdominal cavity so vital. The diagnosis often involves imaging like CT scans or MRIs, which can reveal the characteristic widespread mucinous material. A biopsy is usually required for a definitive diagnosis. Understanding the origin, the characteristic mucus production, and the localized spread are key to grasping what PMP is all about. It’s a condition that requires specialized medical attention and a tailored treatment approach, often involving a multidisciplinary team of surgeons and oncologists. We’ll explore the causes, symptoms, and treatment options in more detail as we go along, so stick around!

Causes of Pseudomyxoma Peritonei: Unraveling the Mystery

So, guys, let’s get down to the nitty-gritty of what causes this thing called Pseudomyxoma Peritonei (PMP) . The most common culprit, accounting for about 80% of cases, is an appendiceal mucinous neoplasm . Now, that’s a mouthful, right? Basically, it means a tumor in the appendix that produces mucus. This tumor can be benign (like a mucinous adenoma) or low-grade malignant (a mucinous adenocarcinoma). The key event is when this tumor either ruptures or burrows through the appendiceal wall, spilling its mucinous contents and cells into the peritoneal cavity – that’s the space lining your abdomen and covering your organs. Once these cells are out in the open, they can implant on the surfaces of abdominal organs and the peritoneum itself, where they continue to produce mucus and grow. It’s like planting seeds in a garden, but instead of pretty flowers, you get this gelatinous buildup. While the appendix is the most frequent starting point, PMP can also originate from mucinous tumors in other areas. The ovaries are the next most common primary site, especially in women. These ovarian tumors are also mucinous and can rupture or spread similar to appendiceal tumors. Less commonly, PMP can arise from mucinous tumors of the colon, rectum, gallbladder, or even the urachus (a remnant of fetal tissue in the abdomen). The exact reason why a benign appendiceal or ovarian tumor decides to go rogue and release its contents isn’t fully understood. Genetics might play a role, but it’s not typically something you inherit in a straightforward way like eye color. Scientists are still researching the specific molecular changes that trigger the transition from a contained tumor to one that spreads within the abdomen. Environmental factors haven’t been strongly linked, but ongoing research continues to explore all possibilities. What’s important to grasp here is that it often starts from something that might initially seem minor, like a polyp in the appendix. The slow-growing nature of these mucinous tumors is a defining characteristic. They don’t usually spread aggressively to distant parts of the body like the lungs or liver. Instead, they tend to stay within the abdominal cavity, gradually filling it with mucus. This localized behavior is a critical factor in understanding how PMP is managed and treated. The development of PMP is a complex process, and while we know the main origins, the specific triggers for rupture and spread are still areas of active investigation. It’s a reminder that even seemingly small issues can sometimes lead to significant health challenges, underscoring the importance of paying attention to our bodies and seeking medical advice when something feels off. The journey to understanding PMP’s causes is ongoing, with researchers working tirelessly to uncover more insights.

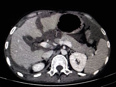
Symptoms and Diagnosis: Recognizing the Signs of PMP

Alright folks, let’s talk about the symptoms and diagnosis of Pseudomyxoma Peritonei (PMP) . This is where things can get a little tricky because, honestly, PMP often likes to play hide-and-seek. The symptoms can be super vague and develop very slowly over months or even years. This is why it’s often misdiagnosed or diagnosed quite late. One of the most common complaints is a gradual increase in abdominal size or bloating . You might feel like your pants are getting tighter, or your belly just feels full and distended. This is due to the accumulation of that characteristic mucinous material within the abdominal cavity. Some people describe it as feeling like they’ve gained a lot of weight rapidly, but it’s not fat – it’s the gel-like substance. Abdominal pain or discomfort is another frequent symptom. This pain can be dull, achy, or sometimes sharp, and it might worsen as the abdomen becomes more distended. It can also be related to pressure on nearby organs. Changes in bowel habits are also common. This could mean constipation, or sometimes diarrhea, or just a general feeling that things aren’t moving smoothly in your gut. Because the mucus can build up and potentially block parts of the intestines, bowel obstruction is a serious complication that can occur. Nausea and vomiting can also be signs, especially if there’s significant obstruction. Other less specific symptoms can include fatigue, loss of appetite, or unintended weight loss, though weight gain due to abdominal distension is more common. So, how do doctors figure out what’s going on? The diagnostic journey for PMP usually involves a combination of methods. Imaging tests are super important. A CT scan (Computed Tomography) of the abdomen and pelvis is often the first step. It can show the characteristic widespread distribution of the mucinous material and any tumors. Sometimes, an MRI (Magnetic Resonance Imaging) might be used for more detailed views. Ultrasound can also be helpful, especially in identifying ovarian masses. However, imaging alone can’t always give a definitive answer. Blood tests are usually done, but there aren’t specific tumor markers that reliably diagnose PMP. The most crucial step for a definitive diagnosis is a biopsy . This involves taking a sample of the tumor tissue or the mucinous fluid from the abdomen. This sample is then examined under a microscope by a pathologist to confirm the presence of mucinous adenocarcinoma cells and determine their origin. Sometimes, the diagnosis is made during surgery when doctors are investigating the cause of the abdominal symptoms. It’s a challenging condition to diagnose because the symptoms mimic so many other common issues, like irritable bowel syndrome, ovarian cysts, or even simple indigestion. That’s why it’s vital for healthcare providers to consider rarer conditions, especially when symptoms are persistent or unusual. The key takeaway is to listen to your body. If you’re experiencing persistent abdominal distension, pain, or changes in your bowels that don’t have a clear explanation, don’t hesitate to seek medical attention. Early diagnosis, while challenging, can significantly impact treatment outcomes for PMP.

Treatment Options: Fighting Back Against PMP

Now, let’s talk about the part everyone wants to know about: treatment for Pseudomyxoma Peritonei (PMP) . The good news, guys, is that while PMP is a serious condition, there are effective treatment strategies available, and the outlook has improved dramatically over the years thanks to advancements in surgical techniques and a better understanding of the disease. The cornerstone of PMP treatment is Cytoreductive Surgery (CRS) , often combined with Hyperthermic Intraperitoneal Chemotherapy (HIPEC) . This powerful combination is often referred to as the “gold standard” for managing PMP. Let’s break it down. Cytoreductive Surgery (CRS) is a major operation where the goal is to surgically remove as much of the visible tumor and mucinous material from the abdominal cavity as possible. Surgeons meticulously go through the abdomen, excising tumors from the surfaces of the peritoneum, the omentum (a fatty apron in the abdomen), and any involved organs. The aim is to achieve “complete cytoreduction,” meaning no visible tumor nodules are left behind. This is a highly specialized surgery that requires experienced surgical teams. Following the complete removal of visible tumors, the next step is often Hyperthermic Intraperitoneal Chemotherapy (HIPEC) . During HIPEC, heated chemotherapy drugs are washed through the abdominal cavity for a specific period, usually about 90 minutes. The heat helps to increase the effectiveness of the chemotherapy drugs and kill any microscopic cancer cells that may have been left behind after surgery. This localized delivery of chemotherapy directly to the abdomen minimizes the systemic side effects that can occur with traditional intravenous chemotherapy. It’s a rigorous treatment that requires a significant recovery period, but it offers the best chance for long-term control of the disease. Sometimes, depending on the extent of the disease and the patient’s overall health, other treatments might be considered. Systemic chemotherapy (given intravenously) might be used in certain situations, particularly if there’s evidence of spread outside the abdominal cavity, although this is less common with PMP. However, the focus is overwhelmingly on local control within the abdomen. Follow-up care is also critical. After surgery and HIPEC, patients are closely monitored with regular check-ups and imaging scans to detect any recurrence of the disease early. Sometimes, repeat surgeries might be necessary if the disease returns. It’s essential to seek treatment at a center with expertise in treating PMP, as the CRS and HIPEC procedure requires a highly specialized team and facilities. While the treatment is demanding, the advancements have led to significantly improved survival rates and quality of life for many patients with PMP. The journey is tough, but with the right medical team and a strong will, people can and do live full lives after PMP treatment. Keep fighting, and remember that knowledge and proactive medical care are your best allies!

Living with PMP: Navigating Life After Treatment

So, you’ve gone through the treatment for Pseudomyxoma Peritonei (PMP) , and you’re wondering, “What now?” This is a really important phase, guys, because living with PMP after treatment is all about recovery, ongoing monitoring, and adapting to your new normal. First and foremost, recovery from Cytoreductive Surgery (CRS) and HIPEC is a marathon, not a sprint. It’s a major surgery, and your body needs time to heal. You’ll likely spend a significant amount of time in the hospital, and the initial weeks and months at home will involve managing pain, fatigue, and dietary changes. Your medical team will provide specific instructions on wound care, activity restrictions, and gradually increasing your physical activity. Listen to your body – don’t push yourself too hard, too fast. Gradually reintroducing a healthy diet is also key, as your digestive system will be recovering. Regular follow-up appointments are absolutely non-negotiable. These appointments are crucial for monitoring for any signs of recurrence. You’ll likely have regular physical exams, blood tests, and imaging scans (like CT scans) as scheduled by your oncologist. Adhering strictly to this follow-up schedule is vital for catching any potential issues early, when they are most treatable. The goal is long-term surveillance. Beyond the medical aspects, managing the long-term effects is also a big part of living with PMP. Some people experience chronic pain, lymphedema (swelling due to lymph fluid buildup), or changes in bowel function. Working with specialists like physical therapists, pain management experts, or dietitians can help manage these issues. It’s also common to experience emotional and psychological effects . Undergoing such intensive treatment can be emotionally taxing, leading to anxiety, depression, or fear of recurrence. Don’t underestimate the importance of mental health. Seeking support from mental health professionals, support groups, or even trusted friends and family can make a huge difference. Connecting with others who have gone through similar experiences can provide invaluable comfort and practical advice. Lifestyle adjustments may also be necessary. Depending on how your body has recovered, you might need to make changes to your diet, exercise routine, or even your work life. Focus on maintaining a healthy lifestyle overall – good nutrition, moderate exercise as tolerated, adequate sleep, and stress management can all contribute to your well-being and potentially help your body stay strong. Remember, PMP is rare, and navigating life after treatment can sometimes feel isolating. Finding resources and connecting with patient advocacy groups can provide a sense of community and access to specialized information. While the journey with PMP is undoubtedly challenging, many people go on to live full and meaningful lives after treatment. It requires resilience, patience, and a strong partnership with your healthcare team. Stay informed, stay proactive, and focus on living each day to the fullest.