MRI Scan Images: What You Need To Know

S.Skip 137 views
MRI Scan Images: What You Need To Know

MRI Scan Images: What You Need to Know

Hey guys! Ever wondered about those super detailed images doctors use to peek inside our bodies? We’re talking about MRI scan images ! Magnetic Resonance Imaging (MRI) is a powerful technique that creates incredibly clear pictures of our internal organs, tissues, and bones without using harmful radiation like X-rays. In this article, we’ll dive deep into the world of MRI scans, exploring what they are, how they work, what they can show, and what to expect if you ever need one. So, buckle up and get ready for a fascinating journey into the inner workings of medical imaging!

What is an MRI Scan?

At its core, an MRI scan is a non-invasive imaging technique that uses strong magnetic fields and radio waves to generate detailed images of the organs and tissues in your body. Unlike X-rays or CT scans, MRI doesn’t use ionizing radiation, making it a safer option, especially for repeated scans or for imaging children and pregnant women (though there are still precautions to consider during pregnancy). Think of it as taking a really, really detailed photograph of the inside of you!

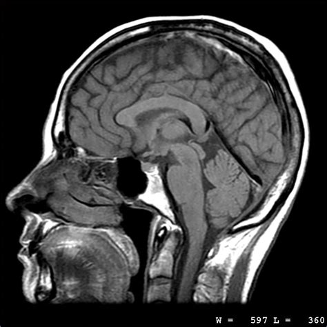
MRI scans are particularly good at visualizing soft tissues, such as the brain, spinal cord, muscles, ligaments, and tendons. This makes them invaluable for diagnosing a wide range of conditions, from sports injuries and arthritis to neurological disorders and cancer. The level of detail provided by an MRI scan allows doctors to see subtle abnormalities that might be missed by other imaging techniques. For instance, an MRI can clearly differentiate between different types of tissues in the brain, helping to diagnose conditions like multiple sclerosis or brain tumors with greater accuracy. In the musculoskeletal system, MRIs can reveal tears in ligaments, tendons, and cartilage, providing essential information for treatment planning. Moreover, MRI scans can also be used to assess the health of internal organs such as the heart, liver, kidneys, and pancreas. For example, cardiac MRI can evaluate heart function and detect abnormalities in the heart muscle, while abdominal MRI can identify tumors, cysts, or inflammation in the liver, kidneys, or pancreas. The versatility and high resolution of MRI scans make them an indispensable tool in modern medicine, aiding in the diagnosis, treatment planning, and monitoring of a vast array of medical conditions.

How Does an MRI Scan Work?

Okay, so how does this magical machine actually work? It’s all about magnets and radio waves! You’re placed inside a large, cylindrical magnet. This strong magnetic field aligns the protons (tiny particles in your body’s cells) in a specific direction. Then, radio waves are emitted, which temporarily knock these protons out of alignment. When the radio waves are turned off, the protons realign, emitting signals that are detected by the MRI machine. These signals vary depending on the type of tissue and its environment, allowing the machine to create a detailed image. The entire process is controlled by a computer, which translates the signals into cross-sectional images of your body.

The strength of the magnetic field is measured in Tesla (T). Most MRI scanners operate at 1.5T or 3T, with higher field strengths generally providing better image quality. The magnetic field strength is a critical factor in determining the signal-to-noise ratio of the images, which directly affects the clarity and detail that can be visualized. Higher field strengths also allow for faster scanning times, which can be particularly beneficial for patients who have difficulty holding still for extended periods. The radiofrequency pulses used in MRI scans are carefully calibrated to excite the protons in specific tissues. By varying the frequency and timing of these pulses, different tissue properties can be highlighted, allowing doctors to differentiate between healthy and diseased tissue. For example, certain pulse sequences are optimized to visualize fluid-filled structures, while others are better suited for imaging fatty tissues. The detected signals are then processed using complex mathematical algorithms to reconstruct the images. These algorithms account for factors such as magnetic field gradients, radiofrequency pulse shapes, and the spatial distribution of the signals. The resulting images are typically displayed as grayscale images, with different shades of gray representing different tissue types. In some cases, contrast agents may be injected into the bloodstream to enhance the visibility of certain structures or abnormalities. These contrast agents work by altering the magnetic properties of the tissues, making them appear brighter on the MRI images . Overall, the process of MRI scanning involves a sophisticated interplay of magnetic fields, radiofrequency pulses, and computer processing to create detailed and informative images of the human body.

What Can MRI Scan Images Show?

MRI scan images are incredibly versatile and can be used to visualize a wide range of conditions throughout the body. In the brain, MRIs can detect tumors, strokes, aneurysms, multiple sclerosis, and other neurological disorders. They’re also used to evaluate the spinal cord for injuries, tumors, and nerve compression. In the musculoskeletal system, MRIs are commonly used to diagnose torn ligaments, tendons, and cartilage, as well as arthritis and bone infections. They can also be used to assess the health of internal organs such as the heart, liver, kidneys, and pancreas, detecting tumors, cysts, inflammation, and other abnormalities. Furthermore, MRI scans can be used to guide biopsies and other minimally invasive procedures.

The diagnostic capabilities of MRI scan images extend to various organ systems and medical specialties. In cardiovascular imaging, cardiac MRI can assess heart function, detect heart valve abnormalities, and identify areas of damaged heart muscle following a heart attack. In abdominal imaging, MRIs can evaluate the liver for cirrhosis, tumors, and other abnormalities. They can also assess the kidneys for tumors, cysts, and obstructions. In the pancreas, MRIs can detect tumors, inflammation (pancreatitis), and cysts. In the musculoskeletal system, MRIs are invaluable for diagnosing sports-related injuries, such as torn ligaments, tendons, and cartilage. They can also detect arthritis, bone infections (osteomyelitis), and tumors in the bones and soft tissues. In neurological imaging, MRIs are used to diagnose a wide range of conditions affecting the brain and spinal cord, including multiple sclerosis, stroke, brain tumors, aneurysms, and spinal cord injuries. The high resolution and ability to differentiate between different types of tissues make MRI scan images an essential tool for diagnosing and managing these complex conditions. Moreover, MRI scans can be used to monitor the effectiveness of treatment over time. For example, MRIs can be used to track the response of a tumor to chemotherapy or radiation therapy. They can also be used to assess the healing of a torn ligament or tendon following surgery. The ability to visualize these changes over time provides valuable information for optimizing treatment strategies and improving patient outcomes. In addition to diagnostic and monitoring applications, MRI scans are also used in research to study the structure and function of the human body in both health and disease.

Preparing for an MRI Scan

Before your MRI scan , you’ll typically be asked to fill out a questionnaire about your medical history, including any allergies, medications, and previous surgeries. It’s also important to inform your doctor if you have any metal implants in your body, such as pacemakers, artificial joints, or metal fragments, as these can interfere with the MRI scan . In some cases, you may need to remove jewelry, watches, and other metal objects before the scan. Depending on the type of MRI scan , you may be asked to fast for a few hours beforehand. If you’re claustrophobic, let your doctor know, as they may be able to give you medication to help you relax during the scan.

Specific preparation steps may vary depending on the type of MRI scan and the imaging center where the procedure is performed. However, there are some general guidelines that apply to most MRI scans . Firstly, it’s crucial to inform your doctor about any medical conditions you have, especially kidney problems, as certain contrast agents used in MRI scans can affect kidney function. If you have a history of kidney disease, your doctor may need to adjust the dose of contrast agent or use an alternative imaging technique. Secondly, if you’re pregnant or think you might be pregnant, it’s essential to inform your doctor, as MRI scans are generally avoided during the first trimester of pregnancy unless absolutely necessary. Although MRI doesn’t use ionizing radiation, the strong magnetic fields can potentially affect the developing fetus. Thirdly, if you have any implanted medical devices, such as pacemakers, defibrillators, or cochlear implants, it’s important to bring your device information card to the MRI appointment . The MRI technologist will need to determine whether the device is MRI-safe and, if so, what precautions need to be taken during the scan. Fourthly, it’s advisable to wear comfortable, loose-fitting clothing to the MRI appointment . Avoid clothing with metal zippers, buttons, or snaps, as these can interfere with the MRI images . You may also be asked to remove any removable dental appliances, such as dentures or retainers, before the scan. Finally, it’s important to arrive at the MRI appointment on time and follow the instructions provided by the MRI technologist . They will explain the procedure in detail and answer any questions you may have. By following these preparation guidelines, you can help ensure that your MRI scan is safe and effective.

What to Expect During the Scan

During the MRI scan , you’ll lie on a table that slides into a large, tunnel-like machine. The MRI technologist will be in a separate room, but you’ll be able to communicate with them through an intercom. It’s important to stay as still as possible during the scan, as movement can blur the images. The machine will make loud banging and buzzing noises as it takes the images. You may be given earplugs or headphones to help reduce the noise. The scan can take anywhere from 15 minutes to an hour or more, depending on the area being imaged and the complexity of the case.

To elaborate further on what you can expect during an MRI scan , it’s helpful to understand the different phases of the procedure and the sensations you might experience. Once you’re positioned on the MRI table , the technologist will carefully align you within the MRI machine to ensure that the area of interest is properly centered in the magnetic field. They may use cushions or other positioning aids to help you stay comfortable and still throughout the scan. As the table slides into the MRI machine , you’ll find yourself in a relatively confined space, which can be unsettling for some people. The MRI machine is essentially a large, hollow cylinder with a strong magnet surrounding it. Once the scan begins, you’ll start to hear a series of loud, repetitive noises, including banging, thumping, and buzzing sounds. These noises are caused by the rapid switching of the magnetic field gradients and the radiofrequency pulses used to generate the MRI images . While the noises can be quite loud and potentially disturbing, they are a normal part of the MRI process . The technologist will typically provide you with earplugs or headphones to help dampen the noise and make the experience more bearable. You may also be able to listen to music during the scan to help distract you from the noise and pass the time. Throughout the MRI scan , it’s crucial to remain as still as possible, as any movement can degrade the quality of the images. The technologist will typically provide you with instructions on how long each sequence will last and when you can expect to hear different types of noises. If you feel uncomfortable or need to move during the scan, it’s important to let the technologist know via the intercom. They may be able to pause the scan briefly to allow you to adjust your position or address any concerns you may have. Depending on the type of MRI scan , you may also receive an injection of a contrast agent into your bloodstream. The contrast agent helps to enhance the visibility of certain structures or abnormalities on the MRI images . The injection is typically administered through an intravenous (IV) line placed in your arm or hand. You may feel a slight pinch or pressure as the needle is inserted, but the injection itself is usually painless. Overall, the MRI scan experience can vary depending on the individual and the specific type of scan being performed. However, by understanding what to expect and following the instructions provided by the MRI technologist , you can help ensure that the procedure is as comfortable and effective as possible.

After the Scan

After the MRI scan , you can usually resume your normal activities immediately. If you received a contrast injection, you may be advised to drink plenty of fluids to help flush the contrast agent out of your system. The MRI images will be reviewed by a radiologist, who will send a report to your doctor. Your doctor will then discuss the results with you and explain any necessary treatment options.

Following an MRI scan , there are typically no specific restrictions or precautions that patients need to follow. In most cases, individuals can resume their normal activities immediately after the procedure. However, there are a few considerations to keep in mind, particularly if a contrast agent was used during the scan. If you received a contrast injection, it’s generally recommended to drink plenty of fluids in the hours following the MRI scan . This helps to flush the contrast agent out of your system and reduce the risk of any potential side effects. While allergic reactions to MRI contrast agents are rare, they can occur. If you experience any symptoms such as itching, rash, hives, swelling, or difficulty breathing after the MRI scan , it’s important to seek medical attention immediately. The radiologist, a physician who specializes in interpreting medical images, will carefully review the MRI images and prepare a detailed report summarizing the findings. The radiologist’s report will be sent to your referring doctor, who will then discuss the results with you and explain any necessary treatment options or further investigations. It’s important to note that the MRI images themselves are just one piece of the puzzle in your overall medical care. Your doctor will consider the MRI findings in conjunction with your medical history, physical examination, and other test results to arrive at an accurate diagnosis and develop an appropriate treatment plan. The timeline for receiving your MRI results can vary depending on the imaging center and the complexity of the case. In some cases, preliminary results may be available within a few days, while more complex cases may take longer. Your doctor’s office will typically contact you to schedule a follow-up appointment to discuss the results once the radiologist’s report is available. During the follow-up appointment, your doctor will explain the MRI findings in detail and answer any questions you may have. They will also discuss the implications of the results for your health and outline the next steps in your care. Overall, the period after an MRI scan is a time for waiting and allowing the medical professionals to do their work in interpreting the images and formulating a plan. Be patient, follow any specific instructions provided by your healthcare team, and don’t hesitate to reach out with any concerns or questions you may have.

Are There Any Risks?

MRI scans are generally considered safe, but there are a few potential risks to be aware of. The strong magnetic field can interfere with metal implants, so it’s important to inform your doctor about any metal in your body. In rare cases, the contrast agent used in some MRI scans can cause an allergic reaction or kidney problems. There’s also a small risk of claustrophobia during the scan.

While MRI scans are generally considered safe and non-invasive, it’s important to be aware of the potential risks and contraindications associated with the procedure. The strong magnetic field used in MRI scans can pose a risk to individuals with certain metal implants or devices in their bodies. Ferromagnetic objects, such as pacemakers, defibrillators, and certain types of surgical implants, can be attracted to the magnetic field and potentially dislodged or damaged. Therefore, it’s crucial to inform your doctor about any metal implants or devices you have before undergoing an MRI scan . In some cases, the MRI scan may need to be modified or avoided altogether to ensure patient safety. Another potential risk associated with MRI scans is the use of contrast agents. MRI contrast agents are typically gadolinium-based compounds that are injected intravenously to enhance the visibility of certain tissues or abnormalities on the MRI images . While allergic reactions to MRI contrast agents are rare, they can occur. Symptoms of an allergic reaction may include itching, rash, hives, swelling, or difficulty breathing. In rare cases, MRI contrast agents can also cause a condition called nephrogenic systemic fibrosis (NSF) in patients with severe kidney disease. NSF is a rare but serious condition that affects the skin, joints, and internal organs. To minimize the risk of NSF, patients with kidney disease should undergo careful screening before receiving MRI contrast agents . Claustrophobia is another common concern for individuals undergoing MRI scans . The MRI machine is a relatively confined space, and some patients may feel anxious or claustrophobic during the procedure. If you have a history of claustrophobia, it’s important to inform your doctor before the MRI scan . They may be able to prescribe medication to help you relax or offer alternative imaging techniques. In addition to these specific risks, there are also some general considerations to keep in mind when undergoing an MRI scan . It’s important to follow the instructions provided by the MRI technologist carefully and to remain as still as possible during the scan. Movement can degrade the quality of the images and potentially require the scan to be repeated. Finally, it’s important to communicate any concerns or questions you may have with your healthcare team before undergoing the MRI scan . They can provide you with additional information about the procedure and address any specific risks or considerations that may apply to your situation.

The Future of MRI Scan Images

The field of MRI imaging is constantly evolving, with new techniques and technologies being developed to improve image quality, reduce scan times, and expand the range of clinical applications. Researchers are exploring the use of higher magnetic field strengths to achieve better image resolution and signal-to-noise ratio. They are also developing new contrast agents with improved safety profiles and enhanced imaging capabilities. Artificial intelligence (AI) is also playing an increasingly important role in MRI imaging , with AI algorithms being used to automate image analysis, improve image reconstruction, and assist in diagnosis. The future of MRI scan images is bright, with the potential to revolutionize the way we diagnose and treat a wide range of medical conditions.

Advancements in MRI technology are continuously pushing the boundaries of what is possible in medical imaging. One promising area of development is the use of higher magnetic field strengths. MRI scanners with higher field strengths, such as 7 Tesla (7T) and beyond, offer the potential for improved image resolution and signal-to-noise ratio compared to conventional 1.5T or 3T scanners . This can lead to more detailed and accurate MRI images , allowing doctors to detect subtle abnormalities that might be missed by lower-field scanners . However, higher-field MRI scanners also present technical challenges, such as increased image artifacts and safety concerns related to the stronger magnetic field. Another area of active research is the development of new MRI contrast agents . Traditional gadolinium-based contrast agents have been linked to a rare but serious condition called nephrogenic systemic fibrosis (NSF) in patients with severe kidney disease. Researchers are working to develop new contrast agents with improved safety profiles and enhanced imaging capabilities. These new contrast agents may be based on different metals or molecules and may be designed to target specific tissues or abnormalities. Artificial intelligence (AI) is also transforming the field of MRI imaging . AI algorithms are being used to automate various tasks, such as image analysis, image reconstruction, and image segmentation. AI can also assist radiologists in diagnosis by highlighting suspicious areas on the MRI images and providing quantitative measurements of tissue characteristics. The use of AI in MRI imaging has the potential to improve efficiency, accuracy, and consistency in clinical practice. In addition to these technological advancements, there is also growing interest in using MRI imaging to personalize medical treatment. MRI scans can provide detailed information about the individual patient’s anatomy, physiology, and disease state. This information can be used to tailor treatment strategies to the specific needs of each patient. For example, MRI scans can be used to guide the delivery of radiation therapy to tumors or to assess the response of a tumor to chemotherapy. Overall, the future of MRI scan images is one of continuous innovation and improvement. As technology advances and our understanding of the human body grows, MRI imaging will continue to play an increasingly important role in medical diagnosis, treatment planning, and research.