Focal Cortical Dysplasia: Understanding Seizures
Focal Cortical Dysplasia: Understanding Seizures
Hey guys, let’s dive deep into the world of Focal Cortical Dysplasia (FCD) and its connection to seizures. It’s a topic that can sound super technical, but understanding it is crucial if you or someone you know is dealing with epilepsy. FCD is basically a malformation of the cerebral cortex , the brain’s outer layer, that happens during fetal development. Think of it like a construction error in the brain’s wiring. This ‘error’ means that the brain cells (neurons) aren’t organized correctly, which can lead to them firing off electrical signals erratically. And guess what? Those erratic signals are the root cause of seizures. So, when we talk about FCD and seizures, we’re talking about a structural issue in the brain that directly impacts its electrical activity. It’s not just a random occurrence; it’s a developmental abnormality that sets the stage for epileptic episodes. The severity and type of seizures can really vary depending on the location and extent of the FCD. Some folks might experience focal seizures, which start in one area of the brain, while others could have more widespread seizures. The key takeaway here is that FCD is a primary driver for a significant number of drug-resistant epilepsies, making it a really important area of study and treatment. We’ll be exploring the different types of FCD, how they’re diagnosed, and the treatment options available to manage the seizures that arise from them. So, buckle up, because we’re about to get into some serious brain science, but I promise to keep it as straightforward as possible!
Table of Contents
What Exactly is Focal Cortical Dysplasia?
Alright, let’s break down Focal Cortical Dysplasia (FCD) a bit more. Imagine the brain’s cerebral cortex as a meticulously organized city with skyscrapers (neurons) arranged in specific neighborhoods and on precise streets. In FCD, there’s a glitch in the city planning during the brain’s development, meaning some of these buildings are in the wrong place, the streets aren’t laid out correctly, or maybe some buildings are constructed with faulty materials. This structural anomaly means that the communication lines within this brain city get messed up. Neurons are supposed to talk to each other in a very orderly fashion, sending and receiving electrical and chemical signals. But in FCD, due to this disorganization, these signals can become chaotic and hypersynchronous, leading to sudden bursts of electrical activity. These bursts are what we experience as seizures. There are actually different types of FCD, classified based on the specific microscopic abnormalities observed in the brain tissue. The most common types are FCD Type I and FCD Type II. FCD Type I involves abnormalities in the laminar (layered) or radial (organized columns) structure of the cortex, but without the presence of giant neurons (dysmorphic neurons). FCD Type II, on the other hand, is characterized by the presence of these dysmorphic neurons, which are essentially brain cells that look abnormal in size and shape. FCD Type II is further divided into Type IIa and Type IIb, with Type IIb being more severe and having even more pronounced cellular abnormalities. The location of the FCD is also super important. If it’s in an area of the brain responsible for motor control, you might see seizures that involve twitching or stiffening of a limb. If it’s in an area involved in memory or awareness, the seizures might manifest as changes in behavior or feeling. This structural abnormality isn’t something that develops later in life; it’s a congenital issue, meaning it starts before birth. And what’s really significant is that FCD is considered one of the leading causes of focal epilepsy, particularly in children and young adults, and often it’s the type of epilepsy that doesn’t respond well to medication. This is why identifying and understanding FCD is so critical for finding effective treatments for these individuals. It’s a complex condition, but understanding its foundational nature—a structural defect leading to electrical chaos—is the first step.
The Link Between FCD and Seizures Explained
So, why does Focal Cortical Dysplasia (FCD) specifically lead to seizures? It all boils down to the brain’s delicate electrical system. Think of your brain as a super-complex electrical circuit board. For everything to work smoothly—thinking, moving, feeling—these circuits need to be perfectly wired and function in a synchronized manner. FCD disrupts this perfect wiring. Because the neurons in the affected area are not properly organized, they can become hyperexcitable. This means they’re more prone to firing off electrical impulses inappropriately. It’s like having a frayed wire in an electrical system; it can short-circuit and cause sparks. In the brain, these ‘sparks’ are seizures. The abnormal neuronal architecture in FCD creates a focus , or a starting point, for this electrical instability. This focus is like a glitchy component on the circuit board that keeps sending out rogue signals. These rogue signals can then spread to other parts of the brain, causing the various symptoms we associate with seizures. Depending on where the FCD is located and how widespread the abnormality is, the seizures can manifest in many ways. A small FCD in the motor cortex might cause a focal seizure affecting just one hand, while a larger or more complex FCD could lead to generalized seizures that involve the whole body. The disorganization of neurons in FCD can lead to several issues that promote seizure generation: abnormal neuronal migration , ectopic neurons (neurons in the wrong place), and dysmorphic neurons (abnormally shaped neurons), especially in Type II FCD. These cellular anomalies mean that the connections between neurons (synapses) are also abnormal, further contributing to the hyperexcitability and the tendency for synchronized, excessive firing. This is why FCD is such a common cause of drug-resistant epilepsy . The underlying structural problem means that anti-seizure medications, which work by modulating neuronal activity, often can’t fully correct the fundamental wiring issue. The brain is simply predisposed to generating seizures because of its abnormal structure. So, the link is direct and fundamental: structural abnormality in the brain cortex leads to electrical dysfunction, which manifests as seizures . Understanding this connection is paramount for developing targeted treatment strategies. It’s not just about suppressing the electrical storm; it’s about addressing the source of the storm itself.
Types of Seizures Associated with FCD
When dealing with Focal Cortical Dysplasia (FCD) , the types of seizures you might encounter can be pretty diverse, but they often originate from that specific abnormal area in the brain. The most common category is focal seizures , which, as the name suggests, start in one localized region of the brain—the area of the FCD. These focal seizures can then be further divided. Some are focal aware seizures (previously known as simple partial seizures), where the person remains conscious and aware but might experience unusual sensations, emotions, or motor symptoms like twitching in a limb. For example, someone might feel a strange smell, experience a sudden sense of fear, or have their hand jerk involuntarily, all without losing consciousness. Then you have focal impaired awareness seizures (previously known as complex partial seizures). In these, consciousness or awareness is affected. The person might seem dazed, confused, or unable to respond normally. They might perform repetitive, automatic behaviors called automatisms, like lip-smacking, picking at their clothes, or wandering aimlessly, without any memory of the event afterward. Secondarily generalized seizures are also a significant concern. This is when a focal seizure, starting in the FCD, spreads to involve both hemispheres of the brain, leading to a generalized tonic-clonic seizure (what most people think of as a ‘grand mal’ seizure), characterized by loss of consciousness, stiffening (tonic phase), and rhythmic jerking (clonic phase). Because FCD is a focal cortical abnormality, it’s intrinsically linked to focal epilepsy. However, the brain is a dynamic system, and electrical disturbances originating from the FCD can easily propagate, leading to generalized seizure patterns. The specific type of seizure often depends on the location of the FCD and the extent to which the abnormal electrical activity spreads. For instance, an FCD in the temporal lobe might lead to focal impaired awareness seizures with auras involving emotional changes or déjà vu. An FCD in the frontal lobe could manifest as focal motor seizures involving jerking movements. It’s really important for individuals experiencing seizures to be evaluated by neurologists who specialize in epilepsy. They can help pinpoint the origin of the seizures, often using tools like EEG (electroencephalography) and MRI (magnetic resonance imaging), to determine if an underlying FCD is present and what type of seizures are occurring. This accurate diagnosis is the foundation for effective treatment, especially when dealing with potentially drug-resistant epilepsy.
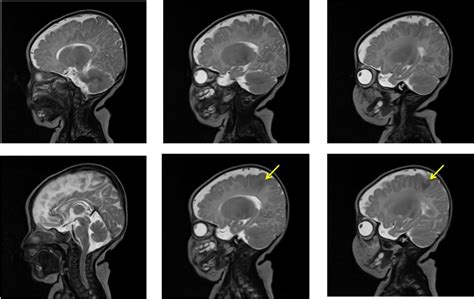
Diagnosis of FCD
Diagnosing Focal Cortical Dysplasia (FCD) can be a bit of a puzzle, guys, because it’s a subtle structural abnormality. The gold standard and most crucial first step is typically a high-resolution Magnetic Resonance Imaging (MRI) scan of the brain. Modern MRI techniques are incredibly powerful and can often reveal the tell-tale signs of FCD, such as blurring of the gray-white matter boundary, thickening of the cortex, abnormal white matter tracts extending into the cortex, and, in more severe cases like FCD Type II, the presence of dysmorphic neurons. However, sometimes the FCD might be very small or subtle, and a standard MRI might not show anything definitive. This is where advanced MRI techniques come into play. Sequences like FLAIR (Fluid-Attenuated Inversion Recovery) and 3D T1-weighted imaging can enhance visualization of these subtle lesions. Sometimes, radiologists and neurologists will look for specific signs like a ‘transmantle sign,’ which is a specific pattern of abnormal white matter signal extending from the ventricle to the cortex. But MRI isn’t always enough on its own. Electroencephalography (EEG) is another vital diagnostic tool. EEG records the electrical activity of the brain through electrodes placed on the scalp. In individuals with FCD, the EEG often shows abnormal electrical activity, such as slow waves or sharp waves, emanating from the region of the FCD. This helps pinpoint the functional abnormality and correlate it with the structural findings on MRI. Often, prolonged EEG monitoring, sometimes combined with video recording (video-EEG), is necessary to capture enough seizure activity and interictal (between-seizure) abnormalities to localize the epileptic focus accurately. Invasive EEG monitoring , where electrodes are surgically placed directly on the surface of the brain or within the brain tissue (electrocorticography or ECoG), might be required in complex cases where non-invasive methods are inconclusive, especially if surgery is being considered. This allows for a much more precise localization of the seizure onset zone. If surgery is being considered, neuropathological examination of surgically removed brain tissue is the definitive way to confirm the diagnosis of FCD and determine its specific type. A neurosurgeon removes the area of the brain thought to be causing the seizures, and a pathologist then examines this tissue under a microscope to identify the characteristic cellular and architectural abnormalities of FCD. So, it’s a multi-faceted approach involving advanced imaging, detailed electrical recordings, and sometimes direct tissue analysis to get a clear picture of FCD and its role in causing seizures.
Treatment Options for FCD-Related Seizures
When it comes to managing seizures caused by Focal Cortical Dysplasia (FCD) , the treatment strategy really depends on the individual, the type of FCD, its location, and how well the seizures are controlled. For many people, the first line of treatment involves anti-seizure medications (ASMs) . While FCD is often associated with drug-resistant epilepsy, meaning seizures don’t respond well to multiple medications, finding the right drug or combination of drugs can still provide significant seizure control for some individuals. Neurologists will typically try various ASMs, adjusting dosages and trying different combinations to find what works best with the fewest side effects. However, when medications aren’t sufficient, or if the FCD is clearly identified as the sole or primary cause of severe, intractable epilepsy, epilepsy surgery becomes a very important option. The goal of surgery is to remove the abnormal brain tissue (the FCD) that is generating the seizures. This is called resective surgery . If the FCD can be completely removed and it’s the only seizure-generating area, there’s a good chance of achieving seizure freedom. This is particularly effective for FCD Type II. However, surgery is a major decision and involves careful evaluation to ensure the benefits outweigh the risks, especially considering the potential for neurological deficits depending on the FCD’s location. If complete removal isn’t possible, or if the FCD is in a critical area of the brain, surgeons might perform a palliative surgery , which aims to disconnect the abnormal area from the rest of the brain to prevent seizure spread, rather than removing it entirely. This might involve procedures like Multiple Subpial Transection (MST) . For individuals with FCD who aren’t candidates for surgery or whose seizures persist even after surgery, other treatment options might be considered. Dietary therapies , such as the ketogenic diet, have shown promise in reducing seizure frequency in some individuals with epilepsy, including those with FCD. This high-fat, low-carbohydrate diet forces the body to burn fat for energy, which can have an anti-seizure effect. Neurostimulation devices , like vagus nerve stimulation (VNS) or responsive neurostimulation (RNS), are also options. VNS involves implanting a device that sends electrical impulses to the vagus nerve, while RNS involves implanting a device directly into the brain near the seizure focus to detect and stop seizures before they start or spread. The choice of treatment is highly personalized, and a multidisciplinary team of specialists, including neurologists, neurosurgeons, epileptologists, and neuropsychologists, often works together to develop the best care plan for each patient. The goal is always to improve seizure control, enhance quality of life, and minimize the impact of epilepsy on daily functioning.
Living with FCD and Seizures
Living with Focal Cortical Dysplasia (FCD) and the seizures it causes presents unique challenges, but with the right support and management strategies, individuals can lead fulfilling lives. Firstly, it’s crucial to have a strong relationship with your medical team. Regular follow-ups with neurologists and epileptologists are essential for monitoring seizure activity, adjusting medications, and discussing treatment options. Don’t hesitate to ask questions and voice any concerns you have; advocacy for your own health is incredibly important. Education is another powerful tool. Understanding your specific type of FCD, the triggers for your seizures (if any can be identified), and the warning signs can empower you. Many people find that keeping a seizure diary can be incredibly helpful. This diary can track seizure frequency, duration, type, and any potential triggers, providing valuable information for your doctor. Safety is paramount , especially when seizures are unpredictable. This might involve taking precautions like avoiding heights, ensuring safety in the bathroom, and being mindful of activities that could be dangerous if a seizure occurs. For individuals who drive, there are often legal restrictions related to seizure control that need to be adhered to. Lifestyle adjustments can also play a role. Getting enough sleep, managing stress effectively, and maintaining a healthy diet are often recommended as they can influence seizure control for some people. While the ketogenic diet is a specific medical therapy, general healthy eating principles are beneficial for overall well-being. Mental and emotional well-being are just as critical as physical health. Living with a chronic condition like epilepsy can take a toll. It’s important to seek support from friends, family, or support groups. Connecting with others who have similar experiences can provide a sense of community, reduce feelings of isolation, and offer practical advice. Psychological support through therapy or counseling can also be very beneficial in coping with the anxiety, depression, or stress that can accompany epilepsy. Furthermore, social and vocational support is vital. Depending on the severity and frequency of seizures, individuals may need accommodations in school or the workplace. Open communication with employers or educators about your condition can help facilitate necessary adjustments and ensure you have the support you need to succeed. Remember, FCD is a brain malformation, but it doesn’t define you. With proactive management, a supportive network, and a focus on overall well-being, it’s absolutely possible to navigate the challenges and live a rich, meaningful life. You guys are stronger than you think!
The Future of FCD Research
The field of Focal Cortical Dysplasia (FCD) and its relationship with epilepsy is constantly evolving, and researchers are making incredible strides. One of the most exciting areas of research is improving diagnostic tools . Scientists are working on developing even more sensitive MRI techniques and AI-powered image analysis that can detect subtle FCD lesions that might be missed by the human eye, especially in difficult cases. This could lead to earlier and more accurate diagnoses, which is critical for timely intervention. Another major focus is on understanding the genetic underpinnings of FCD. Researchers are identifying specific genes and genetic mutations that contribute to the abnormal brain development seen in FCD. This deeper understanding of the ‘why’ behind FCD could pave the way for novel therapeutic targets . Imagine therapies that could potentially prevent or correct the underlying malformation before it even leads to epilepsy, or treatments that are specifically tailored to the genetic profile of an individual’s FCD. Developing more effective treatments is also a huge priority. This includes exploring new anti-seizure medications that are more targeted and have fewer side effects, as well as refining surgical techniques to make them safer and more effective, especially for FCDs located in eloquent areas of the brain. Biomarkers are another area of active research. Scientists are looking for biological indicators in blood, cerebrospinal fluid, or even through advanced imaging that could help predict which individuals are most likely to develop severe epilepsy or respond to certain treatments. This personalized medicine approach could revolutionize how FCD-related epilepsy is managed. Furthermore, there’s a growing interest in regenerative medicine and stem cell therapies as potential long-term solutions for repairing the damaged brain tissue. While still in the early stages for FCD, the progress in neuroscience is rapid, and these avenues hold significant promise for the future. The ultimate goal of all this research is to move beyond just managing seizures to preventing or curing the epilepsy associated with FCD, thereby significantly improving the quality of life for countless individuals and their families. The dedication of researchers and the bravery of participants in clinical trials are truly inspiring, driving us closer to these breakthroughs every day.