Fetal Biometry: Normal Ranges For IIIBPD, HC, AC, FL (mm)

S.Skip 19 views
Fetal Biometry: Normal Ranges For IIIBPD, HC, AC, FL (mm)

Fetal Biometry: Understanding Normal Ranges for IIIBPD, HC, AC, and FL (mm)

Hey guys! Expecting a little one and diving into the world of ultrasounds? You’ve probably come across terms like IIIBPD, HC, AC, and FL. These are key measurements used in fetal biometry to estimate your baby’s gestational age and monitor their growth. Understanding the normal ranges for these measurements is super important, so let’s break it down in a way that’s easy to digest. This article will serve as your friendly guide to understanding these terms and their significance during pregnancy.

What is Fetal Biometry?

Fetal biometry involves measuring various parts of the fetus using ultrasound technology. These measurements are then compared to established normal ranges for each gestational age. This helps doctors assess whether the baby is growing at a healthy pace. The key measurements we’ll focus on are:

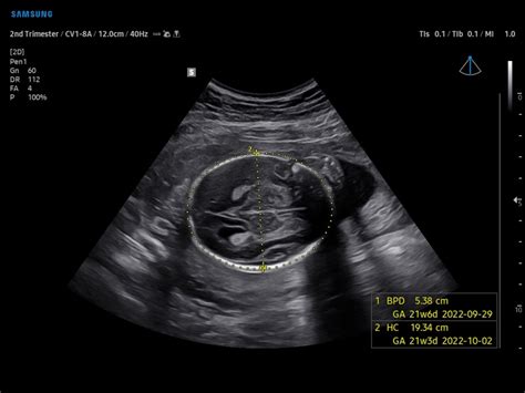
  • IIIBPD (Inner-to-Inner Biparietal Diameter): The distance between the inner edges of the parietal bones on either side of the fetal head.
  • HC (Head Circumference): The measurement around the baby’s head.
  • AC (Abdominal Circumference): The measurement around the baby’s abdomen.
  • FL (Femur Length): The length of the femur, the longest bone in the thigh.

These measurements are usually taken during the second and third trimesters, providing valuable insights into the baby’s development. Now, let’s delve into each measurement and its significance.

IIIBPD (Inner-to-Inner Biparietal Diameter): A Closer Look

The IIIBPD, or Inner-to-Inner Biparietal Diameter , is a crucial measurement taken during ultrasound scans to assess fetal growth and estimate gestational age. Unlike the more commonly used BPD (Biparietal Diameter) which measures from the outer edge of one parietal bone to the outer edge of the other, the IIIBPD specifically measures the distance between the inner edges of these bones. This subtle difference aims to provide a more accurate and consistent measurement, reducing variability caused by differing skull thicknesses. Doctors and sonographers use this measurement to get a sense of how the baby’s head is developing, which is a key indicator of overall growth and neurological development. So why is this measurement so important? For starters, it helps confirm the estimated due date. The IIIBPD, when combined with other biometric measurements like HC, AC, and FL, paints a comprehensive picture of fetal development. If the IIIBPD falls outside the normal range for a particular gestational age, it could signal potential issues that need further investigation. These issues might include variations in head size, which could be related to genetic factors or other underlying conditions. However, it’s essential to remember that a single measurement outside the normal range doesn’t automatically indicate a problem. Doctors consider the overall growth pattern and other factors before making any conclusions. Regular monitoring and follow-up scans are often recommended to track the baby’s growth trajectory. In summary, the IIIBPD is a vital tool in fetal biometry, providing valuable information about fetal head growth and helping to ensure a healthy pregnancy. Its precise measurement technique minimizes variability, offering a more reliable assessment of fetal development. Remember, guys, that this measurement is just one piece of the puzzle, and your healthcare provider will consider all the information to provide the best possible care.

HC (Head Circumference): Measuring Your Baby’s Head

Head Circumference (HC) is another vital measurement obtained during prenatal ultrasounds. It provides valuable information about your baby’s brain development and overall growth. This measurement is taken around the widest part of the baby’s head and is usually measured in millimeters (mm). The HC is a more reliable indicator of gestational age than BPD, especially in the later stages of pregnancy, because the shape of the head can vary. HC is crucial because it helps healthcare providers assess whether the baby’s head is growing at a normal rate. Significant deviations from the normal range can indicate potential problems. For example, a smaller than expected HC might suggest microcephaly, a condition where the baby’s brain is not developing properly. Conversely, a larger than expected HC could indicate macrocephaly, which may be associated with hydrocephalus (fluid accumulation in the brain) or other conditions. However, it’s essential to remember that these are just possibilities, and further investigations are needed to confirm any concerns. The normal range for HC varies depending on the gestational age of the fetus. Healthcare providers use growth charts to compare the baby’s HC to the expected range for their age. These charts are based on data collected from many pregnancies and provide a reference point for assessing growth. Several factors can influence HC measurements, including genetics, maternal health, and environmental factors. In some cases, a slightly larger or smaller HC may be perfectly normal for a particular baby, reflecting their individual growth pattern. Regular prenatal care and ultrasound monitoring are essential for tracking HC and ensuring that any potential issues are identified and addressed promptly. If your healthcare provider has any concerns about your baby’s HC, they will discuss these with you and recommend any necessary follow-up tests or interventions. Ultimately, the goal is to ensure that your baby is growing and developing healthily. So, while HC is a significant measurement, it’s just one piece of the puzzle. Your healthcare provider will consider all the available information to provide the best possible care. Remember, it’s always best to discuss any concerns you have with your doctor or midwife. They can provide personalized advice and support based on your individual circumstances. Don’t hesitate to ask questions and seek clarification – your peace of mind is essential.

AC (Abdominal Circumference): Gauging Abdominal Growth

Abdominal Circumference (AC) is a key measurement taken during prenatal ultrasounds to assess the size and growth of your baby’s abdomen. It’s an important indicator of fetal weight and nutritional status. AC is measured around the baby’s abdomen at the level of the liver, and it’s usually expressed in millimeters (mm). This measurement provides valuable information about the baby’s overall growth and development. The AC is particularly useful for estimating fetal weight, which is essential for monitoring growth and predicting potential complications during labor and delivery. It also helps healthcare providers assess whether the baby is receiving adequate nutrition in the womb. Significant deviations from the normal AC range can indicate potential problems. For example, a smaller than expected AC might suggest intrauterine growth restriction (IUGR), a condition where the baby is not growing at the expected rate. This can be caused by various factors, including placental insufficiency, maternal health problems, or genetic factors. Conversely, a larger than expected AC could indicate macrosomia, a condition where the baby is larger than average. This can be associated with gestational diabetes or other factors. The normal range for AC varies depending on the gestational age of the fetus. Healthcare providers use growth charts to compare the baby’s AC to the expected range for their age. These charts are based on data collected from many pregnancies and provide a reference point for assessing growth. Several factors can influence AC measurements, including genetics, maternal health, and environmental factors. In some cases, a slightly larger or smaller AC may be perfectly normal for a particular baby, reflecting their individual growth pattern. Regular prenatal care and ultrasound monitoring are essential for tracking AC and ensuring that any potential issues are identified and addressed promptly. If your healthcare provider has any concerns about your baby’s AC, they will discuss these with you and recommend any necessary follow-up tests or interventions. In summary, the AC is a critical measurement that provides valuable insights into your baby’s growth and nutritional status. It helps healthcare providers identify potential problems early on and take appropriate action to ensure a healthy pregnancy and delivery. So, while AC is a significant measurement, it’s just one piece of the puzzle. Your healthcare provider will consider all the available information to provide the best possible care. Remember, it’s always best to discuss any concerns you have with your doctor or midwife. They can provide personalized advice and support based on your individual circumstances. Don’t hesitate to ask questions and seek clarification – your peace of mind is essential.

FL (Femur Length): Measuring the Longest Bone

Femur Length (FL) is another essential measurement taken during prenatal ultrasounds. It measures the length of the femur, which is the longest bone in the human body, located in the thigh. This measurement is usually expressed in millimeters (mm) and provides valuable information about the baby’s growth and development. FL is particularly useful for estimating gestational age, especially in the second trimester. It’s also helpful for assessing skeletal growth and identifying potential skeletal abnormalities. The FL is measured from one end of the femur to the other, and it’s usually a straightforward measurement to obtain during an ultrasound. Healthcare providers use growth charts to compare the baby’s FL to the expected range for their gestational age. These charts are based on data collected from many pregnancies and provide a reference point for assessing growth. Significant deviations from the normal FL range can indicate potential problems. For example, a shorter than expected FL might suggest skeletal dysplasia, a group of conditions that affect bone and cartilage growth. Achondroplasia, the most common form of dwarfism, is one example of skeletal dysplasia that can be detected by measuring FL. Conversely, a longer than expected FL could indicate that the baby is larger than average. Several factors can influence FL measurements, including genetics, maternal health, and environmental factors. In some cases, a slightly larger or smaller FL may be perfectly normal for a particular baby, reflecting their individual growth pattern. Regular prenatal care and ultrasound monitoring are essential for tracking FL and ensuring that any potential issues are identified and addressed promptly. If your healthcare provider has any concerns about your baby’s FL, they will discuss these with you and recommend any necessary follow-up tests or interventions. In summary, the FL is a critical measurement that provides valuable insights into your baby’s skeletal growth and overall development. It helps healthcare providers identify potential problems early on and take appropriate action to ensure a healthy pregnancy and delivery. So, while FL is a significant measurement, it’s just one piece of the puzzle. Your healthcare provider will consider all the available information to provide the best possible care. Remember, it’s always best to discuss any concerns you have with your doctor or midwife. They can provide personalized advice and support based on your individual circumstances. Don’t hesitate to ask questions and seek clarification – your peace of mind is essential.

Normal Ranges: What to Expect

It’s super important to remember that normal ranges for IIIBPD, HC, AC, and FL vary depending on the gestational age of the fetus. Your doctor will use standardized growth charts to compare your baby’s measurements to the expected ranges for their age. These charts take into account factors like gestational age and can help identify potential growth abnormalities. These ranges are not absolute; there’s always a degree of individual variation. A measurement slightly outside the average range isn’t necessarily cause for alarm. Your doctor will consider the overall growth pattern and other factors before making any conclusions. It’s also crucial to understand that these measurements are estimates, and there can be some variability depending on the equipment used and the person performing the ultrasound. That’s why it’s so important to have regular checkups with your healthcare provider. They can monitor your baby’s growth over time and identify any potential issues early on.

Why are These Measurements Important?

These biometric measurements play a vital role in assessing fetal well-being. They help:

  • Estimate gestational age: Especially in early pregnancy.
  • Monitor growth: Ensuring the baby is growing at a healthy rate.
  • Detect potential problems: Identifying growth abnormalities or other issues.
  • Estimate fetal weight: Which is important for planning delivery.

By tracking these measurements, doctors can identify potential problems early on and take appropriate action to ensure a healthy pregnancy and delivery. It’s all about being proactive and providing the best possible care for you and your baby.

What if Measurements are Outside the Normal Range?

If one or more of the fetal biometric measurements fall outside the normal range, it’s natural to feel concerned. However, it’s important to remember that this doesn’t automatically mean there’s a problem. Several factors can influence these measurements, and a single measurement outside the normal range is not always cause for alarm. Your doctor will consider the overall growth pattern, your medical history, and other factors before making any conclusions. In some cases, further investigation may be needed to determine the cause of the abnormal measurement. This might involve additional ultrasounds, genetic testing, or other tests. It’s essential to follow your doctor’s recommendations and attend all scheduled appointments. They will provide you with the best possible care and support throughout your pregnancy. Remember, early detection and intervention can often improve outcomes for both you and your baby.

Key Takeaways

  • IIIBPD, HC, AC, and FL are key measurements used in fetal biometry.
  • These measurements help estimate gestational age, monitor growth, and detect potential problems.
  • Normal ranges vary depending on gestational age.
  • A measurement outside the normal range doesn’t always indicate a problem.
  • Regular prenatal care and ultrasound monitoring are essential for a healthy pregnancy.

So, there you have it! A comprehensive guide to understanding IIIBPD, HC, AC, and FL measurements in fetal biometry. Remember, guys, knowledge is power, and understanding these terms can help you feel more informed and empowered throughout your pregnancy journey. Always discuss any concerns with your healthcare provider, and trust their expertise to guide you through a healthy and happy pregnancy!