Decoding Papillary Architecture, Atypia & Psammoma Bodies

S.Skip 110 views
Decoding Papillary Architecture, Atypia & Psammoma Bodies

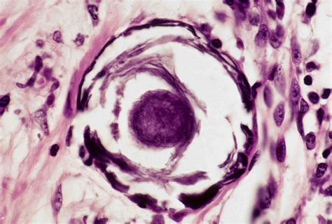
Decoding Papillary Architecture, Atypia & Psammoma Bodies\n\n## Hey There, Let’s Unravel These Medical Mysteries Together!\n\nAlright, folks, let’s talk about some pretty important, albeit complex, terms you might encounter when dealing with certain medical diagnoses, especially those related to thyroid health. We’re diving deep into complex papillary architecture , nuclear atypia , and the intriguing presence of psammoma bodies . Now, these might sound like a mouthful, like something straight out of a really intense biology textbook, but trust me, understanding them, even at a basic level, can be super empowering. Imagine you’ve just heard these terms from a doctor or read them in a pathology report. Naturally, your mind might race, right? You’d be wondering, ‘What on earth do these mean for me?’ That’s exactly why we’re here today – to demystify these concepts, break them down into plain, human-friendly language, and shed some light on why pathologists and doctors pay so much attention to them. Think of me as your friendly guide through this intricate microscopic world, helping you connect the dots and giving you the confidence to ask better questions and understand your health journey more fully. This isn’t just about memorizing definitions; it’s about grasping the significance of these findings. We’ll explore what each term individually represents, how they can sometimes appear together, and most importantly, what their combined presence can tell us about a diagnosis, particularly in the context of certain types of cancers like papillary thyroid carcinoma, which is often characterized by these very features. So, grab a cup of coffee, settle in, and let’s embark on this journey to decode these critical aspects of pathology together. We’re going to make sure by the end of this, you’ll feel a lot more clued-in and less overwhelmed by these fancy medical phrases. It’s all about making complex information accessible, understandable, and ultimately, valuable for you . Understanding these nuances can be the difference between feeling lost and feeling informed, ready to tackle whatever comes your way with knowledge as your shield. Let’s get started, shall we?\n\n## What Exactly is Papillary Architecture, and Why Can it Be ‘Complex’?\n\nAlright, guys, let’s zoom in on the first big term: papillary architecture . When pathologists look at tissue under a microscope, they’re not just looking at individual cells; they’re also observing how these cells are organized, their ‘architecture,’ if you will. Think of it like looking at a building – you don’t just see bricks; you see how those bricks form walls, rooms, and entire structures. In many tissues, cells grow in specific patterns. A ‘papillary’ pattern refers to cells growing in finger-like or frond-like projections, which often have a central core of connective tissue and blood vessels, kind of like the tiny villi in your intestine or the fronds of a fern. This structure isn’t inherently bad; many normal tissues have papillary architecture. However, in the context of certain diseases, especially cancers, this architecture can become distorted, overgrown, or, you guessed it, complex . When pathologists describe architecture as complex papillary architecture , it usually means these finger-like projections are no longer neatly organized. Instead, they might be highly branching, fused together, forming intricate networks, or showing significant crowding and budding off in disorganized ways. This complexity can be a red flag because it often suggests an uncontrolled, abnormal growth pattern, which is a hallmark of malignancy. For instance, in thyroid cancer, particularly papillary thyroid carcinoma, the cells often arrange themselves in these characteristic papillary structures. When these structures are described as ‘complex,’ it’s a significant finding that pathologists pay very close attention to because it can indicate a more aggressive form or a greater extent of disease. It’s about recognizing deviations from the usual, orderly arrangement of cells. The more chaotic and intricate these projections become, the more it suggests that something is amiss and the cells are not following their normal growth rules. So, when you hear complex papillary architecture , think of it as a pattern of cellular growth that’s gone a bit wild and tangled, making it a crucial diagnostic feature that signals potential trouble. It’s one of the key pieces of the puzzle a pathologist uses to determine the nature of a tissue sample, guiding clinical decisions and treatment plans. This detailed observation is vital because it’s not just about the presence of papillae, but their quality and arrangement , which truly tell the story under the microscope. This complex growth pattern, therefore, becomes a strong indicator, pushing doctors to investigate further and consider more definitive interventions. It’s a fundamental aspect of understanding a disease’s morphology and potential behavior, making it a cornerstone of diagnostic pathology. Without this careful architectural assessment, a crucial piece of the diagnostic puzzle would be missing, highlighting the immense importance of these detailed microscopic observations for proper patient care and management. This is why these initial architectural assessments are so paramount in the diagnostic process.\n\n### Simple vs. Complex Papillary Patterns\n\n* Simple Papillary Architecture : Imagine neat, well-defined finger-like projections, each with a clear central core. These might be seen in benign conditions, or even some low-grade malignancies, but they are generally orderly. They follow a predictable, almost artistic, arrangement. \n\n* Complex Papillary Architecture : Now, picture those fingers becoming incredibly bushy, overlapping, branching wildly, or even merging into solid areas. This loss of order and increased architectural intricacy is what makes it ‘complex.’ It often involves extensive branching, tufting, and sometimes even solid areas interspersed with the papillary structures. This disorganization is a key indicator that cellular growth is no longer under normal control, signaling a potentially more serious underlying process. The more distorted and jumbled the architecture, the greater the concern for an aggressive or advanced lesion. This complexity isn’t just an aesthetic observation for the pathologist; it’s a critical morphological clue that directly impacts diagnosis and prognosis, helping clinicians understand the disease’s behavior and plan appropriate management strategies. The intricacy of these structures often correlates with a higher degree of cellular proliferation and a loss of normal tissue organization, pushing the diagnostic considerations towards more concerning entities. This nuanced distinction between simple and complex patterns is fundamental for accurate classification and effective patient care, as it guides the interpretation of a tissue sample, ensuring that appropriate treatment pathways are identified and followed. The architectural complexity, therefore, serves as a powerful diagnostic marker, demanding careful assessment and consideration in every pathological evaluation.\n\n## Unraveling Nuclear Atypia: What Cells Are Really Telling Us\n\nNext up, let’s chat about nuclear atypia . This term, guys, focuses on the individual cells themselves, specifically their nuclei – the ‘brain’ or control center of each cell that holds all its genetic material. In a nutshell, ‘atypia’ means ‘not typical’ or ‘abnormal.’ So, when pathologists talk about nuclear atypia , they’re describing abnormalities in the appearance of a cell’s nucleus that deviate from what’s considered normal for that particular tissue type. Think of it like this: in a perfectly healthy tissue, all the cell nuclei generally look pretty uniform, like a well-drilled army of soldiers. They’re usually similar in size, shape, and internal features. However, when cells start to become abnormal, as often happens in pre-cancerous conditions or outright cancers, their nuclei can undergo striking changes. Pathologists look for several key features of nuclear atypia that collectively paint a picture of cellular mischief. These include changes in nuclear size (some might be much larger or smaller than their neighbors), variations in shape (irregular contours instead of smooth, round or oval shapes), and alterations in the chromatin, which is the material inside the nucleus containing DNA. The chromatin might appear clumped, unevenly distributed, or too dark (hyperchromatic), giving the nucleus a smudged or ‘inky’ appearance. Another critical feature, especially relevant in papillary thyroid carcinoma, is the presence of ‘Orphan Annie eye’ nuclei. This poetic (and slightly creepy) term describes nuclei that appear clear or empty, with a finely dispersed chromatin and sometimes an obvious nuclear groove or inclusion. These distinct changes are strong indicators that the cells are not behaving as they should and are likely undergoing uncontrolled proliferation, which is a hallmark of malignancy. The degree of nuclear atypia – how pronounced and widespread these changes are – is a crucial factor in diagnosing malignancy and sometimes even predicting its aggressiveness. A high degree of atypia suggests a more concerning, potentially aggressive process, while mild atypia might be seen in reactive or benign conditions, though it still warrants careful monitoring. This detailed assessment of individual nuclear features is incredibly important because the nucleus holds the blueprint for all cellular activities; abnormalities here suggest a fundamental problem with the cell’s identity and function. It’s like looking at a building’s control room – if the controls are all jumbled and messy, you know the building isn’t operating correctly. Therefore, the detection and characterization of nuclear atypia are indispensable steps in the diagnostic process, providing pathologists with profound insights into the biological behavior of the cells in question. These nuclear changes, when combined with other features like complex papillary architecture , form a powerful diagnostic duo, guiding accurate classification and informing patient-specific treatment strategies. It’s fascinating how much information a tiny nucleus can reveal about a cell’s health and potential for disease progression, underscoring the artistry and science involved in pathology.\n\n### Key Features of Nuclear Atypia\n\n* Nuclear Enlargement and Overlap : Nuclei are bigger than normal, often overlapping each other due to crowding.\n\n* Irregular Nuclear Contours : Instead of smooth, round, or oval shapes, nuclei might have irregular membranes, indentations, or bizarre shapes.\n\n* Chromatin Changes : The genetic material within the nucleus can appear clumped, coarse, or unevenly distributed. In some cancers, like papillary thyroid carcinoma, the chromatin might look very clear or ‘optically empty’ (the ‘Orphan Annie eye’ appearance), sometimes with prominent nucleoli.\n\n* Nuclear Grooves and Inclusions : These are specific indentations (grooves) or invaginations of the cytoplasm into the nucleus (inclusions) that are highly characteristic of certain malignancies, especially papillary thyroid carcinoma.\n\nThese features, especially when seen together, give pathologists strong clues about the underlying disease process, helping them distinguish between benign and malignant conditions.\n\n## Unpacking Psammoma Bodies: Tiny Clues with Big Implications\n\nNow, let’s get to the last, but certainly not least, piece of our puzzle: psammoma bodies . These are really cool, guys, because they’re tiny, often microscopic, calcified structures that can be found within various tissues, and their presence can be a very strong indicator of certain disease processes. Imagine a tiny, concentric, layered calcification – like a miniature onion or a tiny, calcified pearl. That’s essentially what a psammoma body is. The name ‘psammoma’ actually comes from the Greek word ‘psammos,’ meaning sand, which perfectly describes their gritty, sand-like appearance under the microscope. These little calcifications typically form when cells die and release calcium, which then accumulates in a layered fashion. While they can occur in a few different conditions, their presence, especially in specific tissues, can be a major red flag for malignancy. For example, in the context of thyroid pathology, psammoma bodies are almost pathognomonic (meaning highly characteristic) of papillary thyroid carcinoma . Finding them in a thyroid tissue sample, even in very small numbers, strongly points towards this particular type of cancer, making them an incredibly valuable diagnostic marker. It’s like finding a specific, unique fingerprint at a crime scene – it tells you a lot about who was there. They often form within the cores of papillary structures or in areas where cancerous cells have died off and initiated a calcification process. Their significance lies not just in their presence, but in what they represent: a microenvironment where abnormal cellular activity and death are occurring, leading to these distinct calcium deposits. So, when a pathologist sees psammoma bodies alongside complex papillary architecture and nuclear atypia , it creates an extremely compelling picture for diagnosing papillary thyroid carcinoma. It’s another strong piece of evidence that helps confirm the diagnosis and guides the subsequent clinical management. These aren’t just random bits of calcium; they’re historical markers, telling a story of cellular damage and abnormal growth that has occurred. Their distinctive appearance makes them relatively easy to spot for trained pathologists, acting as crucial signposts on the diagnostic journey. They serve as reliable, tangible evidence of a disease process, solidifying a diagnosis that might otherwise be less certain. The presence of these small, layered calcifications provides an additional layer of confidence in the diagnosis, moving it from a possibility to a high probability. This makes psammoma bodies an invaluable tool in the pathologist’s arsenal, demonstrating how even the tiniest structures can carry immense diagnostic weight and influence patient care significantly. It’s a testament to the power of microscopic detail in understanding macroscopic health issues.\n\n### Why Psammoma Bodies are Important\n\n* Diagnostic Marker : Their presence is highly indicative of certain cancers, particularly papillary thyroid carcinoma and some ovarian cancers, making them a very useful diagnostic tool.\n\n* Formed from Cellular Debris : They often form in areas where abnormal cells are dying and calcifying, a process typical of malignant growth.\n\n* Distinguishing Feature : They help distinguish malignant lesions from benign ones, especially when other features might be ambiguous. It’s often the ‘smoking gun’ that confirms a suspicion.\n\n## The Big Picture: Connecting the Dots of Architecture, Atypia, and Psammoma Bodies\n\nOkay, so we’ve broken down complex papillary architecture , nuclear atypia , and psammoma bodies individually. Now, guys, let’s put it all together and see how these three critical features often work in concert to help pathologists make a definitive diagnosis, especially for papillary thyroid carcinoma . Imagine a detective solving a mystery. Each of these features is a vital clue, and when they’re found together, they don’t just point to a suspect; they often lead directly to the culprit. When a pathologist examines a tissue sample and observes complex papillary architecture – those wildly branching, disorganized finger-like structures – coupled with significant nuclear atypia – the abnormal-looking nuclei with their clear appearance, grooves, and irregular shapes – and then finds the tell-tale psammoma bodies – those tiny, calcified, sand-like concretions – the diagnostic picture becomes incredibly clear. This triad of features is highly characteristic and almost definitive for papillary thyroid carcinoma , which is the most common type of thyroid cancer. It’s not just one of these features alone that clinches the diagnosis; it’s the combination and confluence of them that provides the robust evidence. Each feature reinforces the others, creating a powerful diagnostic signature. The presence of all three dramatically increases the certainty of a malignant diagnosis. For instance, you might see some degree of papillary architecture in a benign lesion, but it wouldn’t be ‘complex’ in the same way, nor would it typically be accompanied by the specific nuclear changes or the characteristic psammoma bodies seen in cancer. This comprehensive evaluation is what makes pathology such a precise science. Pathologists are trained to recognize these patterns and nuances, understanding that the whole is greater than the sum of its parts in diagnostic terms. The interplay between these features provides a robust foundation for a confident diagnosis, which then directly informs the patient’s treatment plan. Without this careful, multi-faceted analysis, crucial diagnostic details could be missed, leading to potentially incorrect or delayed treatment. So, when these three bad boys show up together, it’s a strong signal to your medical team that they’re dealing with a specific type of cancer, and it allows them to proceed with the most appropriate and effective course of action. It highlights the incredible precision and importance of microscopic examination in modern medicine, proving that small details at the cellular level have monumental implications for patient health. This collaborative diagnostic approach, where multiple unique features coalesce, provides unparalleled clarity in identifying disease, reinforcing the critical role of detailed pathology in ensuring accurate medical care. It truly underscores the ‘art and science’ of diagnostic medicine, transforming complex observations into clear, actionable insights for patients and their care teams.\n\n## Why This Matters: Diagnosis and Your Health Journey\n\nSo, why should you, a human being navigating the complexities of health, care about these intricate pathological terms? Simple: because understanding them empowers you. When your doctor or pathologist explains findings related to complex papillary architecture , nuclear atypia , or psammoma bodies , you’ll have a much better grasp of what they’re talking about and why it’s significant. This knowledge allows you to: \n\n* Ask Informed Questions : Instead of just nodding along, you can ask specific questions about the extent of complexity, the degree of atypia, or the number of psammoma bodies found. This shows your medical team you’re engaged and helps clarify your understanding.\n* Understand Your Diagnosis : Knowing what these terms mean helps you comprehend the nature of your diagnosis, particularly if it’s something like papillary thyroid carcinoma. It demystifies the medical jargon and makes the situation less frightening.\n* Participate in Treatment Decisions : An informed patient is a better partner in their own healthcare. Your understanding of these features can help you weigh treatment options and understand the rationale behind your doctor’s recommendations.\n* Reduce Anxiety : Fear often stems from the unknown. By shedding light on these seemingly complex terms, we aim to reduce some of that anxiety and make your health journey feel more manageable.\n\nUltimately, this deep dive into pathological terms isn’t just about science; it’s about giving you the tools to navigate your health with confidence and clarity. The more you understand about what’s happening inside your body, the better equipped you’ll be to advocate for yourself and make the best decisions for your well-being. It’s about taking control and being an active participant in your health journey, turning bewildering medical language into understandable information. So, next time you hear these terms, you won’t just hear noise; you’ll hear meaningful clues, allowing you to engage deeply with your care team and truly grasp the nuances of your diagnosis. This educational empowerment is a crucial step towards personalized and effective healthcare, fostering a collaborative environment where patients feel heard, understood, and truly valued.\n\n## Wrapping It Up: Key Takeaways for You, My Friends!\n\nAnd there you have it, folks! We’ve journeyed through the microscopic world of complex papillary architecture , nuclear atypia , and psammoma bodies . These aren’t just fancy words pathologists throw around; they are crucial diagnostic markers that tell a detailed story about the cells and tissues within your body. Remember, complex papillary architecture points to abnormal, tangled growth patterns. Nuclear atypia signals changes in the very core of individual cells, indicating they’re not behaving normally. And psammoma bodies are those tiny, calcified ‘sand grains’ that act as highly specific clues, often sealing the deal for certain diagnoses like papillary thyroid carcinoma. When these three features show up together, they form a powerful diagnostic trio, providing strong evidence for a specific type of cancer. My goal here was to make these intimidating terms accessible and understandable, so you feel more informed and less overwhelmed. Never hesitate to ask your medical team questions, even if they seem basic. Your health is paramount, and being an active participant in understanding your diagnosis is one of the best ways to ensure you receive the best possible care. Stay curious, stay informed, and always advocate for your health! You’ve got this!\n